About
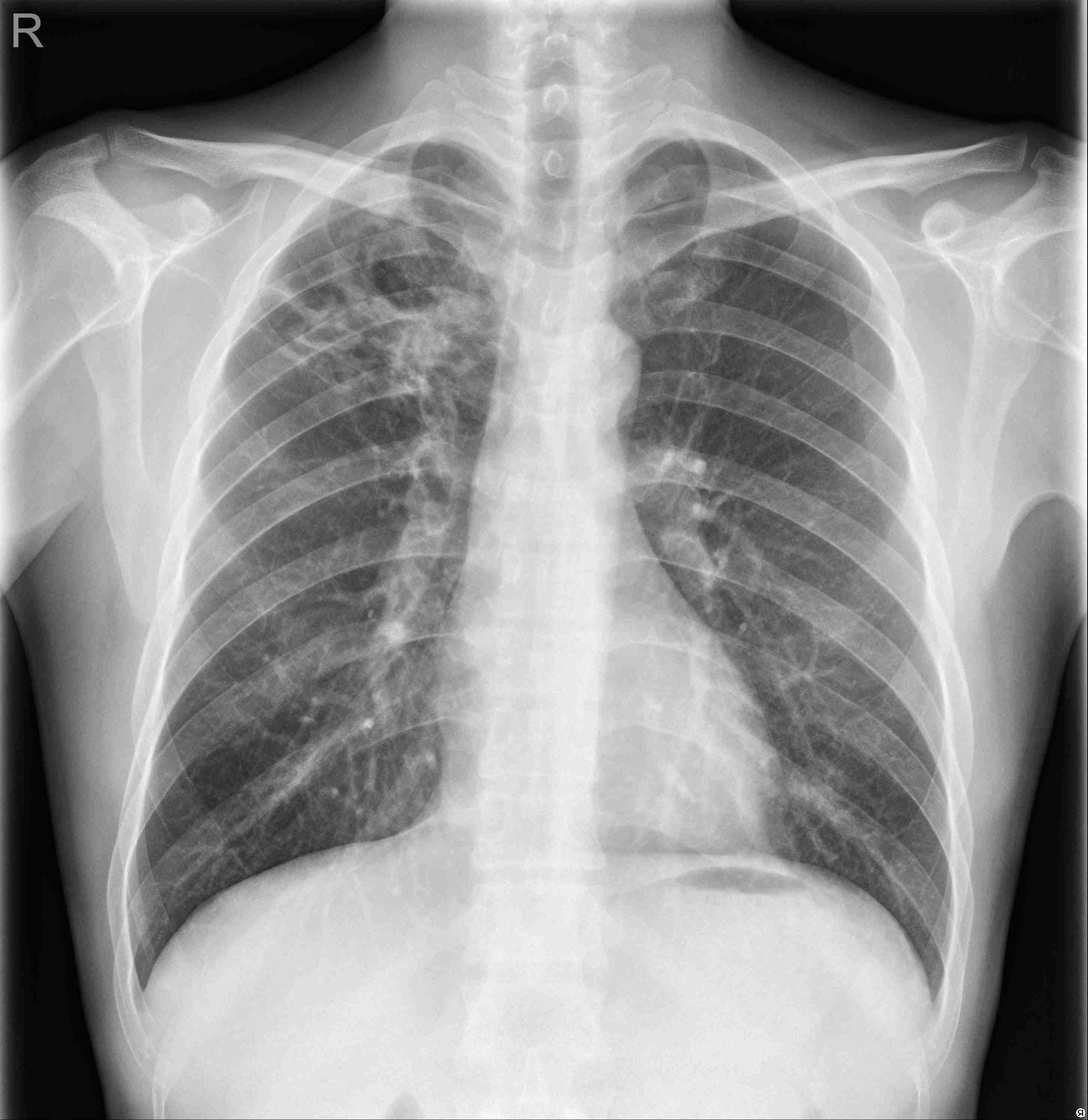
Pneumonia Analyzer
Model is loading...
Results
kiprotich brian
Predict